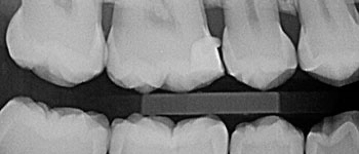
Radiografías Intraorales


Son aquellas en las que la película se coloca en el interior de la cavidad bucal. Según el tamaño y la colocación de la película se pueden clasificar en procedimientos periapicales o retroalveolares o retroalveolares, bite wing o interproximales y oclusales.

Un requisito imprescindible previo para la realización de la radiografía intrabucal es retirar prótesis metálicas removibles, dispositivos ortodóncicos o cualquier objeto metálico que se encuentre en el área a estudiar. Además, es necesaria la inmovilización perfecta de la cabeza del paciente en la posición idónea.

Entre sus técnicas tenemos:

 

Desarrollado por

INFORMACIÓN IMPORTANTE SOBRE TU PEDIDO ONLINE

Debido a la alta demanda actual , las entregas de listas se pueden extender hasta un plazo máximo de 72 horas, sin considerar el día Domingo.

Agradecemos su comprensión y el esfuerzo que hacen por mantenerse en casa , esas acciones reflejan nuestra responsabilidad y solidaridad con todo el Perú. Aquí estaremos para cualquier consulta que tengas !

Escríbenos para más Información