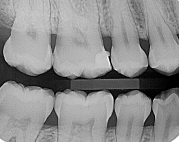
Permite detectar caries interproximales y oclusales, pero también alteraciones pulpares, restauraciones desbordantes, recidivas de caries bajo estas, ajustes de prótesis fijas, cresta alveolar, límite amelocementario; en una misma película se observan las regiones coronal y cervical de los dientes superiores e inferiores a la vez.
Son ideales para detectar caries interproximales y tienen gran aporte en el diagnóstico de enfermedad periodontal.
992 259 001 - 920 104 684
(01) 536 1091 - (01) 296 7607
Debido a la alta demanda actual , las entregas de listas se pueden extender hasta un plazo máximo de 72 horas, sin considerar el día Domingo.
Agradecemos su comprensión y el esfuerzo que hacen por mantenerse en casa , esas acciones reflejan nuestra responsabilidad y solidaridad con todo el Perú. Aquí estaremos para cualquier consulta que tengas !